IPINTERNACIONAL

ADVANCED

SOFT TISSUE RECONSTRUCTION

MODULE 1

ONE GROUP

ONE JORNEY

ONE PURPOSE

EXCELLENCE

COURSES OBJECTIVES.

Start your journey following the best way

01.

Learn the 3 Pillars of Esthetic PerioImplantology.

02.
Master diagnostic protocols, classifications and ImpalntePerio Decision trees.
03.
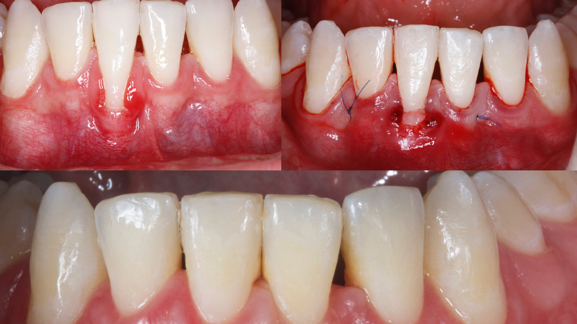
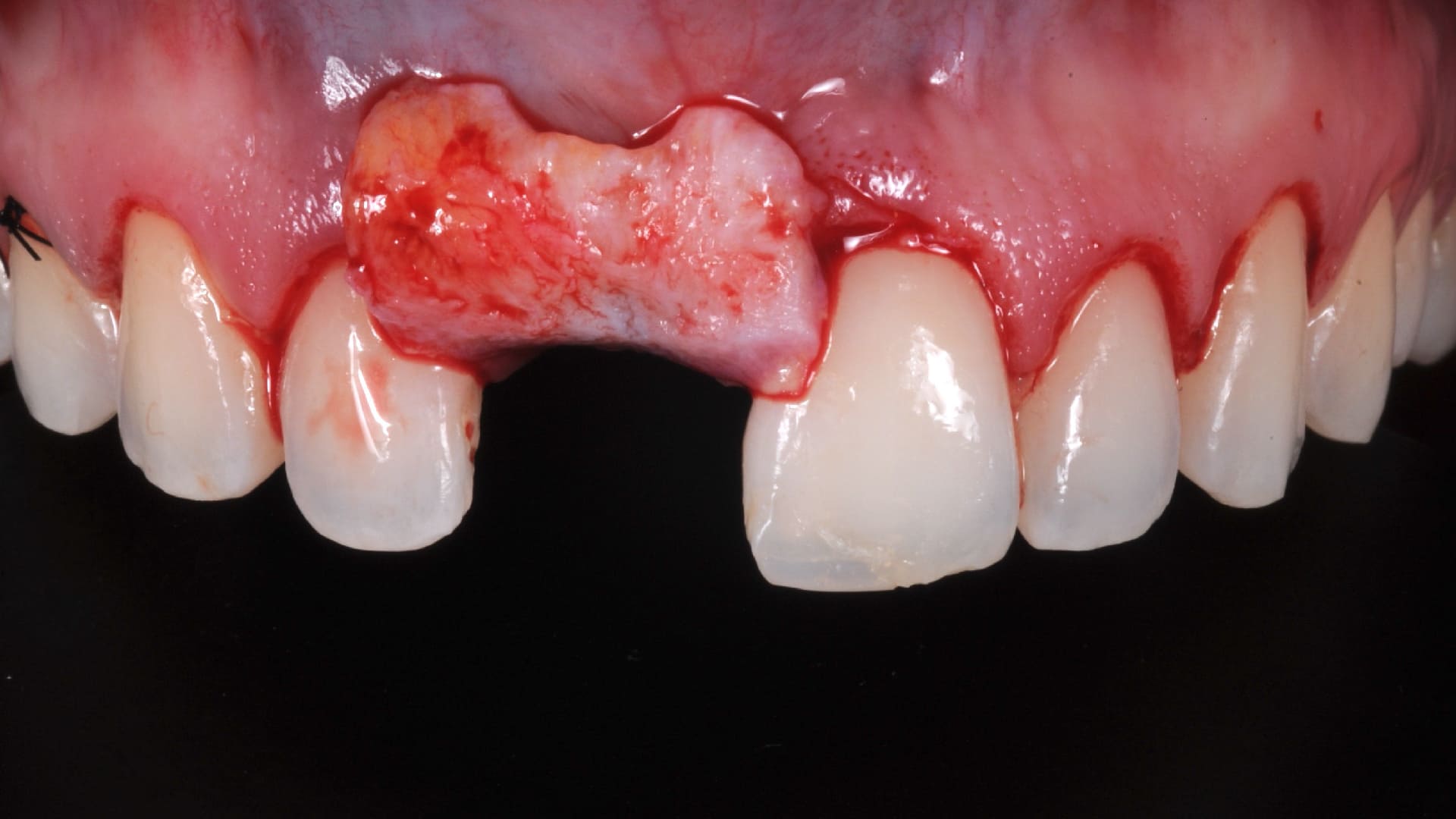
Learn and perform various techniques on when, why, and how to confidently harvest Autologous Connective Tissue & Free Gingival Grafts from palate/tuberosity.
04.

Learn Immediate Implant with simultaneous soft and hard tissue reconstruction decision tree.

05.
Maximize your clinical results for all your esthetic and implant procedures by integrating soft tissue surgery into your practice.
06.
Prevent and manage post op complications and learn to treat accordingly with various techniques.
07.
Learn to bring longevity and predictability to your implant surgery by understanding principles of soft tissue grafting and management through treatment planning and preforming soft tissue graft surgeries on live patients.
08.
Learn the importance of the KT and master the technique to create KT around teeth and implant

TOPICS

What you will learn

Anatomical Considerations.

Criteria to select the ideal donor site.

Tuberosity versus palate.

De-epithelialized free gingival graft versus “Deep connective tissue graft”.

Soft tissue grafting and harvesting techniques.

Complications and Solutions.

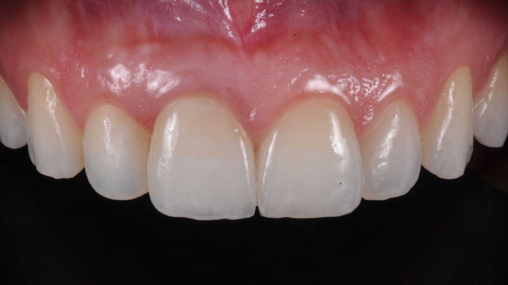
Root Coverage procedures.

Gaining KT around teeth.

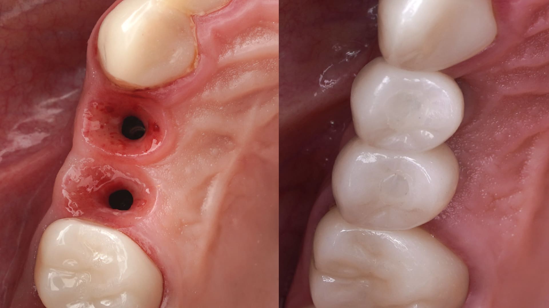
Fresh-sockets treatment Options

IP Protocols and Decision Tree at Fresh Sockets.

Minimally Invasive Tooth Extraction.

Biology of The socket healing.

Biomaterial Selection To Fill The Gap.

When, Why, and How to use the Connective Tissue Graft at.

Immediate Implants.

The importance of the Immediate Provisional Restorations.

Posterior Immediate Implants.

Customized Healing abutments:
how to do it.

Treatment options to gain KT around Teeth and Implant

FGG around teeth

MFGG to cover recession

FGG to augment the KT and Vestibuloplasty;

Immediate implant placement

Socket reconstruction with biomaterials and CTG

Management of the immediate provisional restorations contour

Customized healing in the posterior sites

Soft tissue graft around implants

CTG to gain of the volume

Combined graft

Roll Technique

CTG from the internal part of the palatal flap

Soft tissue
donor site​

Palatal Are

Tuberosity

Others

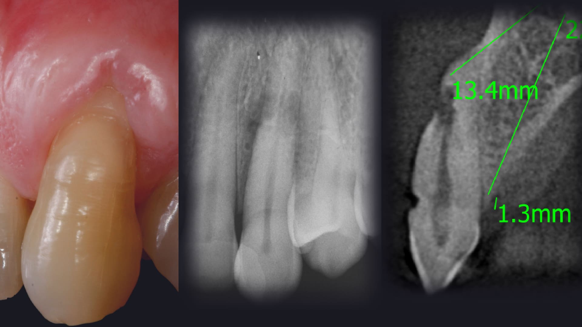
Bone Reconstruction Simultaneously to Implant Placement​

CTG to gain of the volume

Combined graft

Roll Technique

CTG from the internal part of the palatal flap

CLINICAL CASES

We offer you the possibility to specialize

HANDS-ON
IN MODELS

In this part of the course, you will apply the theoretical and didactic concepts and techniques previously covered in lecture.

REFUND POLICY

Up to 30 days before the start of the course: 50% refund of the amount paid
Between 30 days and the day of the course: No refund.